Jump to navigation
Home
Log in
Show shortcuts
SPECIMEN OF CYANOPROKARYOTES HERBARIUM KPABG
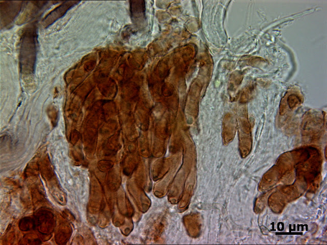
Tapinothrix sp.
Solentia sp.
Gloeocapsa sp.
KPABG(C):
2518
Latitude: 67.891098022461
Longitude: 32.470600128174
Coord.prec.:
100 m.
Alt.:
900 m.
Хр. Чуна тундра, скалистый каньон между г. Намлагчорр и г. 1072,8 м., русло ручья, скалы (1 м.). Горная тунда. Угол глыбы. Высокая освещенность. Сыро
Substrate:
Rock
Reserve:
Lapland biosphere reserve
Country:
Russia
Province:
Murmansk Province
Leg.date:
19.08.2011
Leg.name:
Shalygin S.
Det.date:
01.09.2011
Det.name:
Shalygin S.
Leg.num.:
66-2-11Chu
LID:
605153
.:
Tapinothrix sp.
Shalygin S.
Solentia sp.
Shalygin S.
Gloeocapsa sp.
Shalygin S.
Tuesday, November 3, 2015 - 23:32