Jump to navigation
Home
Log in
Hide shortcuts
SPECIMEN OF CYANOPROKARYOTES HERBARIUM KPABG
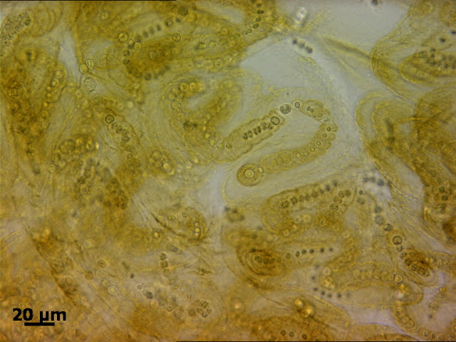
Nostoc commune Vaucher ex Bornet et Flahault
KPABG(C):
2453
Latitude: 67.67749786377
Longitude: 32.432201385498
Coord.prec.:
200 m.
Alt.:
414 m.
Южная оконечность хр. Чуна тундра, южный макросклон г. Сейднотчорр (ЮВ эксп.), скалы под навесом. Березовое криволесье. Глыба. Высокая освещенность. Наклонная. Сыро
Substrate:
Mosses
Reserve:
Lapland biosphere reserve
Country:
Russia
Province:
Murmansk Province
Leg.date:
02.07.10
Leg.name:
Shalygin S.
Det.date:
09.11.10
Det.name:
Shalygin S.
Leg.num.:
7-01-10_Seyd
LID:
605094
.:
Shalygin S.
Nostoc commune Vaucher ex Bornet et Flahault
Shalygin S.
Tuesday, November 3, 2015 - 23:31